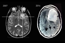
IN 2007, out of sheer curiosity, Steven Keating had an MRI scan that revealed only a slight abnormality near his brain’s smell center, which he was advised to have re-evaluated in a few years. A second scan, in 2010, showed no change, suggesting that the abnormality was most likely benign. Mr Keating, currently a graduate student in the Department of Mechanical Engineering and based at the MIT Media Lab, had joined a research study that included an MRI scan, and he asked that the scan’s raw data be returned to him.
MRI data showing Mr Keating’s astrocytoma tumor before and after surgical removal (Image courtesy of Steven Keating)
Now Mr Keating says that his curiosity saved his life — and that his experience with cancer has fueled a strong interest in advocating for open health data. While the second scan provided reassurance, his knowledge of the abnormality ultimately led to the detection of a baseball-sized tumor that was removed this past August.
He requested and obtained the video of his 10-hour surgery. A tissue biopsy confirmed that his tumor was an IDH1-mutant malignant astrocytoma, a type of brain cancer in which the mutated IDH enzyme leads to the production of 2HG, a novel, oncogenic metabolite.
Spectroscopy screening of Mr. Keating’s brain before and after his surgery showed the reduction of 2HG. These scans were also shared with Mr. Keating, at his request.
Given his up-close-and-personal experience with his health, Mr. Keating says he is now a strong believer in open sourcing and allowing patients to have easy access to their own health data. He says he was fortunate that his doctors were willing to share his data, but he did notice many small barriers along the way.
Advocating for opening health data
Given his up-close-and-personal experience with his health, Mr. Keating says he is now a strong believer in open sourcing and allowing patients to have easy access to their own health data. This cause has personal importance, he says, because having access to his health data not only led him to discover his tumor in the first place, but it also helped find the doctors and medical care he needed.
“Imagine having your whole medical record that you could not only share with doctors and scientists but also with friends and family, too,” he says. “Patients could get second opinions very easily, and doctors can follow what leaders in the field are doing.”
Critics of open-source health data largely point to privacy considerations, especially with regard to patients’ genetic data, which inherently reveals information about their family members. Many also worry about patients making medical decisions based on their own interpretation, against the advice of doctors.
While Mr Keating recognizes these concerns and is a strong believer in privacy, he says if a patient wants to share, they should be able to. “Your personal being is your personal property, and you should have the right to share that data if you want to,” he said.
This is an area where Mr. Keating is leading by example, and his MRI scans and tumor model are available for download on his personal website.
Air Foamposite One
iConnectHub
Login/Register
Supplier Login
















